OnDemand 3D Full Application
OnDemand3D Full Application – software 3D X-ray pentru diagnosticare 3D
OnDemand3D este o soluție completă de imagistică utilizată de către medicii stomatologi, ortodonți și nu numai. OnDemand3 este un software puternic utilizat pentru afișarea, evaluarea, prezentarea și documentarea datelor de volum 3D ale unui dispozitiv CBCT. Software-ul permite stocarea datelor DICOM și include diverse instrumente personalizabile pentru diagnosticare și planificare tratament. Software-ul modular este flexibil și usor de extins, în același timp permite acces remote.
OnDemand3D Full Application de la Cybermed, ajută la diagnosticarea și planificarea implanturilor. Include majoritatea modulelor disponibile, inclusiv modulul 3D, care permite activități de segmentare, măsurare volum, export STL, plus modulul Fusion. Permite comunicarea PACS. Module disponibile: DBM, DVR, 3D, DLB, Fusion, Report, X-Report.
DBM – Manager baze de date
Permite gestionarea eficientă a datelor pacientului, căutarea în baza de date, după nume, dată, modalitate sau cuvânt cheie, vizualizarea miniaturilor, conectarea de la orice calculator sau server de la distanță. Modulul DBM oferă trei tipuri diferite de accesare a bazei de date. Datele pot fi solicitate și salvate, în orice moment, prin toate cele trei tipuri accesări. Mai mult, datele pot fi copiate dintr-un sistem în altul.
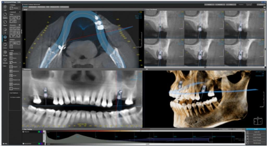
DVR – Dental Volume Reformat
Modulul DVR permite afișarea datelor de volum 3D. Acestea includ imagini tomografice, vizualizari transversale, analiza articulațiilor maxilarului și imagini de volum 3D. Functionalități: planificare și verificare implanturi, vederi panoramice, TMJ, vizualizare, vedere ocluzională etc.
Fusion
Modulul Fusion oferă posibilitatea îmbinării a două volume 3D sau efectuării unei analize diferențiale. Îmbinarea a doua volume este utilă pentru a obține un câmp vizual mai mare, pentru un diagnostic sau planificare cuprinzatoare. Analiza diferențială facilitează evaluarea proceselor de vindecare prin intermediul unei comparații înainte / după sau prin evaluarea modificărilor în timp. Funcționalități: suprapunere, comparație înainte / după operație, stitching.
DLB – Dynamic Lightbox
Modulul Dynamic Lightbox – DLB permite o privire rapidă de ansamblu asupra volumului 3D. În plus, acest modul oferă posibilitatea de a crea filme cu imagini în secțiune transversală pentru oricare axă care se poate selecta. Filmele pot fi redate prin multiple programe video. Funcționalități: Vederea în secțiune, vederea oblică în secțiune, zoom 3D, endoscopie virtuală, etc.
3D
Modulul 3D oferă o vizualizare remarcabilă, o segmentare și o diversitate de funcții analitice ale volumului 3D. Modulul 3D permite afișarea detaliilor fine, care pot fi analizate cu ajutorul zoom-ului 3D. Această funcție combină tehnologiile dentare CAD/CAM cu tomografia 3D. Funcționalități: TMJ, diagnosticarea condilului, vedere aeriană, dinți și rădăcini, zoom 3D, segmentare 3D, conversie de la DICOM la STL.
Report
Modulul Report este destinat utilizatorilor care doresc să creeze rapid un raport simplu. Cu doar câteva click-uri se pot captura toate imaginile posibile care apoi, pot fi integrate într-un șablon de raport simplu. Acesta poate fi tipărit, arhivat sau exportat în format HTML. În plus, suportă imprimarea DICOM pentru a controla setul de imagini cu laser DICOM care creează imaginile clasice CT pe film. Funcționalități: Capturare de imagini și crearea rapidă de rapoarte simple. Export format HTML.
X-Report
Modulul X-Report este o opțiune mai avansată pentru utilizatorii care doresc să creeze șabloane de rapoarte personalizate pentru nevoile lor de raportare. Utilizând o funcție inteligentă de inserare a imaginii, „Drag and Drop”, care poate fi setată la True Size sau la un nivel de zoom preferat, împreună cu mai multe opțiuni de afișare. Permite crearea foarte rapidă de șabloane adaptate pentru chirurgie, cu datele și imaginile fiecărui pacient. Rapoartele pot fi tipărite sau exportate în formatele HTML, PDF, PPT, JPG. Funcționalități: Creare de template-uri pentru rapoarte personalizate pentru creșterea eficienței.
Cerințe tehnice minime pentru OnDemand3D Full Application:
- Procesor: Dual Core 2 GHz sau mai mare
- Memorie RAM: 2 GB sau mai mare (recomandat mai mare de 4 GB)
- Memorie video dedicată: cel putin 1GB (recomandat mai mare de 2 GB)
- Placă grafică: OpenGL 2.1 sau mai mare, DirectX 9.0 sau mai mare
- Placă video: nVidia din ultimii ani (recomandat GT 650 sau versiuni ulterioare)
- Sistem de operare: Microsoft Windows XP / Vista / 7 / 9 / 10 (32 / 64 bit).






