Despre tipurile de radiografii dentare
Primul pas pentru obținerea unui tratament stomatologic eficient este diagnosticarea corectă. Radiografia dentară digitală reprezintă cel mai eficient mijloc de a stabili un diagnostic stomatologic precis.
Întreaga aparatură din dotarea centrelor de radiologie DigiRay provine de la leaderi în domeniul imagisticii dentare, produse inovative de cea mai înaltă calitate. Combinația dintre cea mai nouă tehnologie și personalul extrem de bine pregătit sunt motivele datorită cărora pacienții noștri sunt expusi unui nivel minim de radiații, în timp ce medicul stomatolog beneficiază de informații prețioase pentru un diagnostic precis, pe baza unor imagini de o înaltă rezoluție și claritate.
În cadrul centrelor noastre de radiologie avem posibilitatea să efectuăm toate tipurile de radiografii necesare:
1. Radiografia digitală panoramică
Radiografia panoramică (Ortopantomografia) furnizează medicului o imagine de ansamblu a dentiției și a elementelor anatomice maxilo-faciale înconjurătoare. Această radiografie se realizează înainte de orice tratament stomatologic, astfel încât medicul să aibă o imagine completă a cazului pe care îl tratează, să evalueze posibile leziuni inflamatorii sau dinți neerupti, structura osoasă de susținere, articulațiile temporo-mandibulare, să vizualizeze molarii de minte, rapoartele dinților cu repere anatomice învecinate (nerv alveolar, sinus maxilar) sau posibile fracturi osoase maxilare sau mandibulare.
2. Radiografia digitală retroalveolară
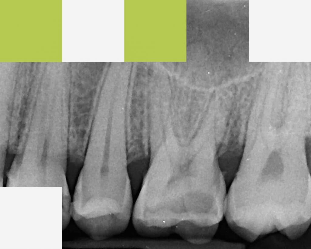
Radiografia retroalveolară (periapicală) se realizează pentru un dinte, sau un grup de doi maxim trei dinți, pentru a evidenția dintele în întregime, la dimeniuni reale: coroana, rădăcina și osul în care această este ancorată. Radiografia retroalveolară este recomandată în tratamentele endodontice, parodontale, chirurgicale, pentru vizualizarea rădăcinii sau a coroanei dintelui.
3. Radiografia digitală bite-wing
Radiografia bitewing se realizează pentru a observa punctele sau suprafețele de contact dintre coroanele dinților posteriori adiacenți sau conturul osului alveolar la acest nivel. Sunt surprinse atât coroanele dinților superiori cât și a celor inferiori pe același film. Scopul radiografiei este de a depista cariile interdentare sau pe cele care se formează sub obturații sau lucrări.
4. Status bi-maxilar
Radiografiile de status bi-maxilar se efectuează pe fiecare zona în parte, cuprinzând întreagă cavitate bucală. Imaginile sunt detaliate pe grupe de dinți în incidente retroalveolare și bite-wing.
5. Teleradiografia de profil
Teleradiografia de profil este indicată atunci când se dorește aplicarea unui aparat ortodontic (pentru corectarea poziției dinților) sau corectarea profilului osos și a mușcăturii pacientului. Această radiografie evidențiază raportul dinților cu maxilarele și a maxilarelor cu oasele craniului pe care medicul ortodont le măsoară pentru a putea stabili diagnosticul și planul de tratament.






